Meet the Team at Angel Dental Care
Angel Dental Care’s team offers personalized care for every patient’s dental needs.
Meet the skilled professionals dedicated to enhancing your dental experience at Angel Dental Care.
Dental Team at Angel Dental Care
Message from Dr. Minal Patil
Dr Minal Patil
My name is Dr Patil and I am the proud owner and founder of the highly successful dental clinic, Angel Dental Care in Picton. I am a cosmetic and implant dentist that thrives on changing lives. For over 18 years I have transformed the smiles and confidence of my patients beyond their expectations. I do this with the greatest integrity, honesty and devotion , which are my core values and the reason I’ve had such an amazing career so far.
I like to empower patients to take control of their dental health and provide education on potential smile improvements and treatments. At Angel Dental Care we provide a range of services and state-of-the-art care, offering the best in general and cosmetic dentistry. I look forward to welcoming you to our clinic
Meet the Team at Angel Dental Care
At Angel Dental Care, our team consists of highly trained professionals committed to providing top-tier dental services. We focus on creating personalised treatment plans that cater to each patient’s unique needs and ensure comfort during every visit. Call (02) 4677 1048 for patient-focused, expert treatments in a welcoming environment.
Your Local Dentist in Picton

Minal Patil
Practice Owner

Kiera Spano
Practice Manager

Warisha Wassim
Oral Health Therapist

Zoe Webeh
Dental Nurse

Rhi Barnett
Dental Nurse

Pratima
Dental Nurse
Experience Expert Care Today
Comprehensive Dental Services in Picton
At Angel Dental Care, we provide a wide range of dental services designed to suit your family’s unique needs. From routine check-ups to advanced cosmetic treatments, our experienced team ensures personalized care for your healthiest, brightest smile. We empower informed decisions, so book your consultation for tailored treatment plans. Click “Book Now” or “Call Now” to begin today.
Patient Testimonials and Success Stories
We deeply value our patients and are excited to share their wonderful experiences with you!
EXCELLENT Based on 136 reviews Posted on Elisha Morris22 April 2025Trustindex verifies that the original source of the review is Google. Dr John Harvey was beyond amazing today with my young daughter. With a previous history of extreme fear of dental appointments he soothed her anxieties and performed her routine check up with ease! Safe to say she is actually looking forward to our next visit. Cannot recommend Dr John Harvey enough!!Posted on Bob Armstrong14 April 2025Trustindex verifies that the original source of the review is Google. Wonderful staff. Great experience.Posted on Neil Mondigo7 April 2025Trustindex verifies that the original source of the review is Google. Ive been to Angel Dental a few times now and each time has been a positive experience. Warisha has done a wonderful job in keeping my gums and teeth healthy. Highly recommended!Posted on Jared Knopper24 March 2025Trustindex verifies that the original source of the review is Google. I still had all my teeth after my appointment. The front desk people are nice.Posted on Ryan Evans9 January 2025Trustindex verifies that the original source of the review is Google. Always receive great service, never a problem with changing appointments. Staff are also lovelyPosted on Nicole Tribbia7 January 2025Trustindex verifies that the original source of the review is Google. Always happy with my experience at Angel Dental! I take my two children there they are so attentive and nurturing towards the kids and make it happy place! The Netflix on the tv is an added bonus for the kids and a great distraction.Posted on Carlene Simmons6 January 2025Trustindex verifies that the original source of the review is Google. All the staff were friendly and helpful
Meet the Team at Angel Dental Care
Your Local Dentist in Picton
Discover the Advantages of Choosing Angel Dental Care
Passion and
Expertise
Your comfort and input are our priority, ensuring you never feel pressured. We focus on enhancing your natural beauty with customized dental care for a perfect smile.
Innovative & Latest
Technology
15+ Years of
Experience
Excellent
Google Ranking
Payment
Plans
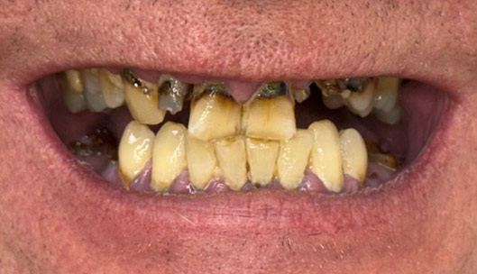
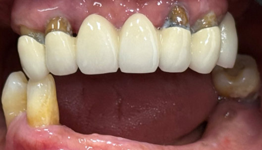
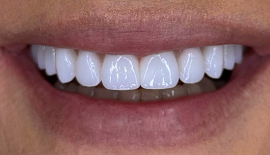
Smile Makeover Gallery
Explore the remarkable smile transformations showcased in our extensive Smile Makeover Gallery at Angel Dental Care.









Our Affiliates and Payment Partners


























