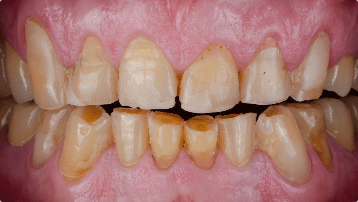
Worn Down Teeth
Over time, your teeth can naturally wear down, or become worn due to certain conditions or lifestyle factors. While it’s most commonly seen in older patients, it can often exhibit in younger patients too.
What causes teeth to wear?
Aggressive tooth wear can be caused from a variety of situations. Some of the most common factors for worn-down teeth include:

Crowding or misaligned teeth

Age and diet

Untreated decay

Irregular biting patterns
Symptoms of worn down teeth
This is what you may expect when dealing with worn down teeth:
- Tooth sensitivity
- Translucent teeth
- Loss of protective tooth enamel
- Chipped teeth
- Poor aesthetic appearance
- Impaired eating or speech
Treatment
Depending on the cause, we may recommend therapies such as a mouthguard/bite splint to sleep with, or orthodontics to prevent additional tooth wear. It depends on the individual.
If your teeth are severely worn down, repairing them with a porcelain crown will restore both function and aesthetics.

